Life must be understood backwards; but… it must be lived forward.
Soren Kierkegaard
A long time ago I learnt about using avenues to free the mind by doing different things in the face of adversities. One can not always gauge their reaction to what life throws at them. I found this for me most certainly, and in face of the understanding of the “emotive struggle,” it is moving “clarity to such thinking” of the thinking mind, that one would like to at least understand what influences these emotive consequences have on their thinking space.
The brain is a matter defined state of existence and is furthest from the source of expression. Yet, it houses avenues within the very nature of it’s structure, to allow processes that may be comparative to me of what spaces can be created, as we create an open portal for all thinking minds avenues to new possible changes.
So I of course like to use a bubble in this context to to display the field around that thinking brain/Body to know that the emotive consequences lie within this field of expression.
It wasn’t enough then that what was apparent to me, that the continued struggle I have of dealing with these emotive fluctuations is in our thinking minds, that the reactive states, were held in a place of a deeper repose while the collection of these things come from a history of living.
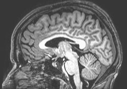
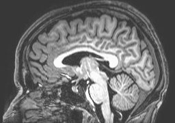
It was not enough that I knew of a map created by another of psychological stature and lead by scientific valuation, that it would lead to the understanding of Penfield’s work on the structure of the brain.
Source:McGill University ArchivesWilder Graves Penfield, OM, CC, CMG, MD, FRS (January 25/26, 1891 – April 5, 1976) was an American-born Canadian neurosurgeon. See also:Wilder Penfield
So while I had given Stefan of Backreaction “a brief summary of it” there in the following quote below, it is in such a way this unfolds I had developed this understanding of “historical context” and now, work toward the future. This is why I like history, and why I used David Hilbert’s quote. It signals “advancements in thinking” as we explore history in not only the context of who we are, but of our predecessor’s mathematical development as well. The “gap created for such ingenuities” had to realize a “stop off point” for further developments. So we develop from that point, forward.
At 11:08 AM, March 13, 2008, Blogger Plato said. Historical Meme: Seven Things about Richard Carrington
Often we say things in our own lives not aware of the context and influence our parents have on us, yet, such concepts themself are transmitted and unknowingly we become the parent of our raising.
To change the cyclical nature of such events, and move to our own adult situations requires a deeper insight into who we are, that we might change the circumstance and reveal who it is, is talking, when acting in this role of our day to day.
That you may not have children now is not the issue and any young person might know then that we are also our parent, as well as, the child of that experience. It is how we shall choose as an adult to address society, each other, in these ways, that we change the future.
A lot of time if you are not aware of the internal structure this information is transmitted how would you know that it follows “another’s mindmap” and you were not aware of it? So as glossy as this sounds “my writing” about our individual histories, we now know that we transmit part of our histories into the future.
Parent ego state
This is a set of feelings, thinking and behaviour that we have copied from our parents and significant others.
As we grow up we take in ideas, beliefs, feelings and behaviours from our parents and caretakers. If we live in an extended family then there are more people to learn and take in from. When we do this, it is called introjecting and it is just as if we take in the whole of the care giver. For example, we may notice that we are saying things just as our father, mother, grandmother may have done, even though, consciously, we don’t want to. We do this as we have lived with this person so long that we automatically reproduce certain things that were said to us, or treat others as we might have been treated.
As we grow up we take in ideas, beliefs, feelings and behaviours from our parents and caretakers. If we live in an extended family then there are more people to learn and take in from. When we do this, it is called introjecting and it is just as if we take in the whole of the care giver. For example, we may notice that we are saying things just as our father, mother, grandmother may have done, even though, consciously, we don’t want to. We do this as we have lived with this person so long that we automatically reproduce certain things that were said to us, or treat others as we might have been treated.
Adult ego state
The Adult ego state is about direct responses to the here and now. We deal with things that are going on today in ways that are not unhealthily influenced by our past.
The Adult ego state is about being spontaneous and aware with the capacity for intimacy. When in our Adult we are able to see people as they are, rather than what we project onto them. We ask for information rather than stay scared and rather than make assumptions. Taking the best from the past and using it appropriately in the present is an integration of the positive aspects of both our Parent and Child ego states. So this can be called the Integrating Adult. Integrating means that we are constantly updating ourselves through our every day experiences and using this to inform us.
In this structural model, the Integrating Adult ego state circle is placed in the middle to show how it needs to orchestrate between the Parent and the Child ego states. For example, the internal Parent ego state may beat up on the internal Child, saying “You are no good, look at what you did wrong again, you are useless”. The Child may then respond with “I am no good, look how useless I am, I never get anything right”. Many people hardly hear this kind of internal dialogue as it goes on so much they might just believe life is this way. An effective Integrating Adult ego state can intervene between the Parent and Child ego states. This might be done by stating that this kind of parenting is not helpful and asking if it is prepared to learn another way. Alternatively, the Integrating Adult ego state can just stop any negative dialogue and decide to develop another positive Parent ego state perhaps taken in from other people they have met over the years.
Child ego state
The Child ego state is a set of behaviours, thoughts and feelings which are replayed from our own childhood.
Perhaps the boss calls us into his or her office, we may immediately get a churning in our stomach and wonder what we have done wrong. If this were explored we might remember the time the head teacher called us in to tell us off. Of course, not everything in the Child ego state is negative. We might go into someone’s house and smell a lovely smell and remember our grandmother’s house when we were little, and all the same warm feelings we had at six year’s of age may come flooding back.
Both the Parent and Child ego states are constantly being updated. For example, we may meet someone who gives us the permission we needed as a child, and did not get, to be fun and joyous. We may well use that person in our imagination when we are stressed to counteract our old ways of thinking that we must work longer and longer hours to keep up with everything. We might ask ourselves “I wonder what X would say now”. Then on hearing the new permissions to relax and take some time out, do just that and then return to the work renewed and ready for the challenge. Subsequently, rather than beating up on ourselves for what we did or did not do, what tends to happen is we automatically start to give ourselves new permissions and take care of ourselves.
Alternatively, we might have had a traumatic experience yesterday which goes into the Child ego state as an archaic memory that hampers our growth. Positive experiences will also go into the Child ego state as archaic memories. The positive experiences can then be drawn on to remind us that positive things do happen.
The process of analysis’s personality in terms of ego states is called structural analysis. It is important to remember that ego states do not have an existence of their own, they are concepts to enable understanding. Therefore it is important to say “I want some fun” rather than “My Child wants some fun”. We may be in our Child ego state when we say this, but saying “I” reminds us to take responsibility for our actions.
Transactional Analysis theory was developed by Dr Eric Berne in the 1950’s.
Intuitive Light Switches
So you can start off with thinking all about what Penrose had to say, and Max may have pushed this further, to wonder, how his structural interpretation may be compared to what the actual Mathematical Universe is saying. A Square? A soccer Ball. So today, it may be some Easter Egg interpretation?:)
See:





